Dental Smile Gallery Wilmington
The Trusted Choice for Transforming & Enhancing Smiles

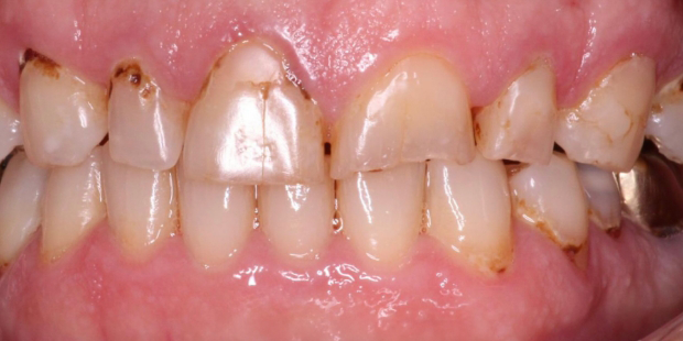
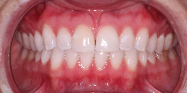
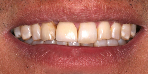
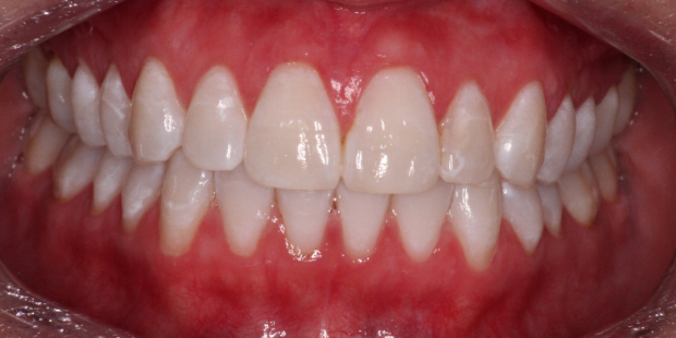
As the official sponsor of the Miss for America – NC and SC, as well as Mrs. NC and Mrs. SC pageants, Dr. Britta Lundgren is a trusted expert when it comes to restoring and enhancing smiles, whether that’s through cosmetic or restorative dentistry. Through state-of-the-art dental techniques and treatments, she’s able to help her patients feel empowered by their smiles.
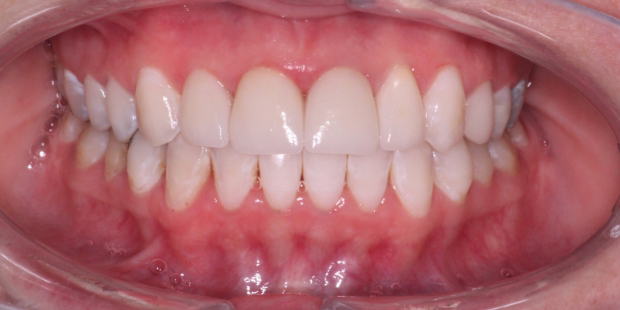
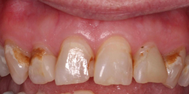
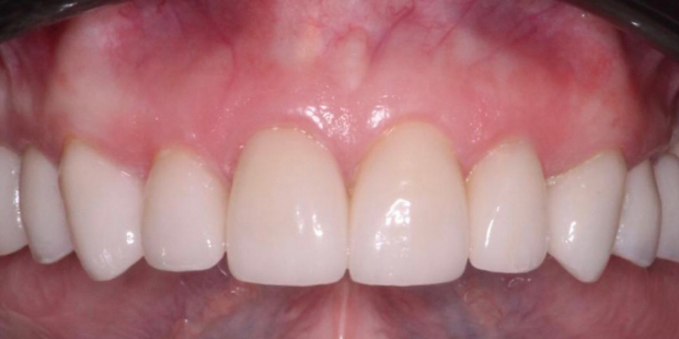
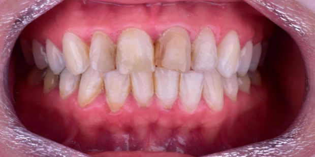
Browse Dr. Lundgren’s smile gallery below to view some of the real-life transformations that she has worked on. If you feel inspired to start your own journey towards a more beautiful, show-stopping smile, call our Wilmington dental office today to schedule a consultation.
More to Explore
About Us Meet Dr. Lundgren Advanced Dental Technology View Our Services